Majka porijeklom iz Konga umrla je od teške pothranjenosti nakon što je nosila nerođeni fetus oko devet godina u svom tijelu.
Žena je posjetila liječnike u New Yorku žaleći se na grčeve u želucu, probavne smetnje i zvuk ‘bućkanja‘ nakon jela, piše Jutarnji list.
Rendgenske snimke su otkrile da je 50-godišnjakinja imala ‘kamenu bebu‘ — kalcificirani fetus — koji joj je pritiskao crijeva, što se pripisalo pobačaju kojeg je imala prije devet godina.
Rijedak fenomen, koji je zabilježen dosad manje od 300 puta, događa se kada fetus koji se razvija izvan maternice umre tijekom trudnoće. To je jedna od mnogih komplikacija u trudnoći koje imaju ozbiljne dugoročne učinke na zdravlje majke.
Pacijentica je odbila liječenje rekavši kako vjeruje da je njezino zdravstveno stanje povezano s ‘čarolijom‘ koju je netko bacio na nju u Africi.
Žena je umrla 14 mjeseci nakon dolaska u Sjedinjene Države, a liječnici su kazali da je umrla od teške neuhranjenosti, odnosno gladovanja.
U tim slučajevima smrt može na kraju biti uzrokovana srčanim zastojem, a drugi uzroci uključuju infekciju uzrokovanu oslabljenim imunološkim sustavom.
Ovoj je ženi ‘kamena beba‘ stalno stiskala crijeva što je uzrokovalo blokade, a njezino tijelo više nije bilo u stanju apsorbirati vitalne hranjive tvari – što je dovelo do pothranjenosti.
Dr. Waseem Sous, stručnjak za internu medicinu na sveučilištu SUNY Upstate Medical University koji je prijavio slučaj, rekao je da je pacijentica ‘odbila intervenciju zbog straha od operacije‘, te je umjesto toga ‘izabrala praćenje simptoma‘.
‘Nažalost, preminula je zbog teške pothranjenosti u kontekstu ponovljene opstrukcije crijeva zbog litopedije i kontinuiranog straha od traženja medicinske skrbi.‘
Fetus, koji bi bio ženino deveto dijete, prestao se razvijati u njoj u 28. tjednu.
Termin litopedija označava stanje koje nastaje kada se trudnoća formira u abdomenu umjesto u maternici. U slučajevima litopedije, do bebe ne dopire dovoljna količina krvi, što rezultira neuspjelom trudnoćom.
Tijelo također ne može izbaciti fetus, niti ga apsorbirati ukoliko je prevelik, što dovodi do potencijalno smrtonosnih komplikacija.
Imunološki sustav utvrđuje da mrtvi fetus predstavlja prijetnju i pokreće napad.
To dovodi do taloženja naslaga bogatih kalcijem na fetusu, postupno ga obavijajući kalcificiranom ljuskom ili pretvarajući ga u kamen.
Fetusi u ovom stanju mogu se nositi i do 60 godina unutar tijela, kaže medicinska literatura.
Stanje je dosad zabilježeno samo 290 puta, a prvi put datira iz Francuske 1582. godine.
Neke majke prijavljuju teške simptome kao posljedicu, ali druge mogu živjeti desetljećima bez ikakvih poteškoća.
Ova tužna priča otkrivena je u medicinskom izvješću u časopisu BMC Women‘s Health ovog tjedna.
Majka iz Afrike dva puta se bježeći od sukoba selila iz Konga u Burundi, a zatim u Tanzaniju. Tamo se skrasila i rodila osmero djece, no tri su umrle nedugo nakon poroda.
Tijekom svoje devete trudnoće posjetila je liječničku kliniku u izbjegličkom kampu nakon što je primijetila da se njezino dijete više ne miče.
Liječnici su joj tamo rekli da beba nema otkucaje srca i preporučili joj da ga pokuša poroditi prirodnim putem kod kuće i da se, ako to ne uspije, vrati za dva tjedna.
Pridržavala se uputa, ali kada je drugi put došla pred kliniku, neki su je dočekali optuživši je za ‘zlodjelo‘ i ‘ubojstvo bebe‘.
Majka je požurila kući i molila se, prije nego što je odlučila da neće potražiti liječničku pomoć.
Mrtvi fetus nosila je devet godina i nije imala kontakta s liječnicima sve do pregleda šest mjeseci prije nego što se preselila u Sjedinjene Države.
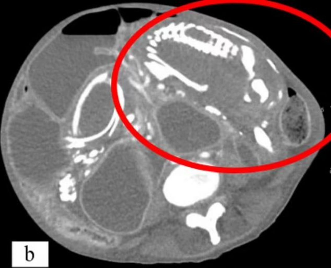
Kad je stigla u SAD, odvedena je na CT koji je otkrio opstrukciju tankog crijeva i kompresiju velikih vena, kao i masu unutar abdomena koja je bila otprilike 15 puta 20 centimetara i sadržavala je kostur.
Nakon što je odbila operaciju, liječnici su je uvjerili da uzima antibiotike kako bi se riješila želučanih tegoba i tablete za snižavanje krvnog tlaka. Međutim, 14 mjeseci nakon dolaska u SAD umrla je od pothranjenosti, piše Jutarnji list.




